Плитка металлическая для промышленного пола нап...
Плита газовая Fiesta G 5403 SACDcG-BL – фото, о...
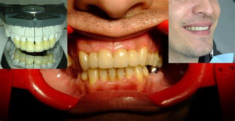
Металлокерамика - цена в Москве | Стоматологиче...
Металлокерамика -Наши работы
Металлокерамика | КЕРАМИК БАЙ
Нагревательная плита Таглер ПН-4030МК (330 °C, ...
МЕТАЛЛОКЕРАМИКА история и применение
Портативная газовая плита с адаптером для больш...
Металлокерамика для фотомедальонов в Минске | К...
Металлокерамические коронки в стоматологии "ЕЛЕ...
Аренда однокомнатной квартиры 34м² ул. Архитект...
Где применяется металлокерамика кратко
Металлокерамика, безметалловая керамика, наши р...
Как выглядит металлокерамика - NervovNet.com
Чем отличается металлокерамика от керамики
Металлокерамика по доступным ценам | Сеть стома...
Современная металлокерамика фото | Гид по Стома...
Плита электрическая gorenje | Festima.Ru – част...
Что лучше выбрать металлокерамику или цирконий ...
Металлизированная плитка для стен от дизайнерск...
Металлокерамика: плюсы и минусы
10 стильных примеров использования металлическо...
Чем отличается индукционная плита от стеклокера...
Современная металлокерамика
Металлокерамика или цирконий — что лучше выбрать?
Металлокерамика в Витебске, цена | Протезирован...
Плита комбинированная MILANO ML60 E20 Graphite ...
Металлокерамика Луганск