SODIUM HYPOCHLORITE 12.5-15% MSDS Download
SDS法とは?読み方やPREP法との違い・例文を紹介
SDS PAGE: Principle, Protocol, And Reliable App...
Thinner MSDS Download
Component of SDS buffer (5X SDS loading buffer ...
SDS(安全データシート):※販売終了※ハンダフラッ...
Can You Reuse Sds Page Running Buffer - Infoupd...
SDS and Right To Know Info Sign on White Backgr...
Sds Index Sheet Template at Tiffany Burns blog
A Deep Dive into SDS Binder’s Features: What Se...
SDS(安全データシート) | MAアルミニウム株式会社
Safety Data Sheet Explained | SDS | Safeti
Safety Data Sheet Material Name: QSOL™ 220 Clea...
Sds Safety Data Sheet Isopropyl Alcohol Docslib...
Material Safety Data Sheet Ethyl Alcohol Proof ...
Streamlining Safety Data Sheets Authoring Softw...
Transport and Logistics Pricing and Rate Sheet ...
SDS也能实现高端存储性能指标,华瑞指数云重磅发布...
SDSの見方を教えて~化管法(PRTR法)・クリエイト...
Redis SDS详解 - 知乎
EPOXY RESIN NPEL 128E MSDS Download
What is Safety Data Sheet Search | EU
【SDS第3項】組成及び成分情報の書き方! 化審法や...
Gel Electrophoresis, PAGE, SDS- PAGE – MCAT Bio...
SDS法とは?メリットや就活での活用法を例文付きで...
ポリアクリルアミドゲルの調製~電気泳動までの流...
SDS(安全データシート)とは? 交付義務や作成方法...
SDS OSHA Labels for Chemical Safety Data 4 x 3 ...
Safety Data Sheets | SDS and Inventory Complian...
Legend Safety Data Sheets Red On Yellow Color S...
SDSの保管義務について:保管場所や期間、効率的な...
What Is Sds In Seismic Design - Design Talk
은 무엇입니까 MSDS 또는 SDS: 의약품 안전보건자료
Kilfrost Deicing Fluid Msds at Sheila Nielsen blog
SDS
Safety Data Sheet For Bath And Body Works Lotio...
Fabuloso Sds Sheet 2024 - Shay Yelena
SDS Plus と SDS Max: 違いと比較
Best Way To Organize Sds Sheets at Steven Petry...
医薬部外品と業務用表示製品のSDS交付義務について...
Projekt
How to Read and Interpret a Safety Data Sheet (...
Redis sds packed对齐理解_sds 内存对齐-CSDN博客
SDS作成に資格は必要? 最新の労働安全衛生法に基...
PPG Sds | PDF | Toxicity | Formaldehyde
SoRite® DECON Technical Information - Aseptic H...
Diagnostics | Free Full-Text | SDS Electrophore...
Safety Data Sheets (SDS) Archives - Safety Notes
How to read safety data sheets - Formula Botanica
GB Gas Oil MSDS Download
SAFETY DATA SHEET Aqua Ammonia (20-30%) - DocsLib
Cif Bath Ultrafast MSDS Download
Non-Reducing SDS PAGE: A Method to Analyze Disu...
2.2 SDS Section 1 - Agar Cleaning Systems Training
全新Turbo CE-SDS:省时、省事又省钱 - 生物通
SDS vs SDS Plus Difference: Which One to Pick? ...
How to automatically email my vendor to request...
SDS法とは?SDS法でわかりやすく情報を伝える記事...
Stp Hydraulic Oil Iso Aw-32 Sds at Ricardo Mori...
韩文SDS是什么文件/SDS和MSDS有什么区别 - 哔哩哔哩
How To Create A Safety Data Sheet (SDS) Royal C...
SDS(安全データシート):※販売終了※ポリコールキ...
化学物質の安全管理【前編】 SDSを活用して、包括...
SDS-PAGE 할 때 Stacking gel에서 sample이 샙니다...
So importieren Sie Sicherheitsdatenblatt-Dateie...
Nalco Company Sds - Zaina Skye
Stainless Steel Cleaner SDS: Safety Data Sheets...
(PDF) AMIDO BLACK 10B SDS-PAGE GEL STAINING PRO...
Solved 2) The Following Image Shows An SDS-PAGE...
粉末涂料MSDS编写 出口TDS报告检测 欧盟中英文SDS认证
How to Read A Safety Data Sheet SDS/MSDS Poster...
SDS Page - Its principle, function, and applica...
MSDS认证与SDS认证申请及区别 - 知乎
详细解说化工品MSDS,即化学品安全技术说明书 - 知乎
Sds Page Diagram (pdf) Sds-page V1
SDS vs. MSDS: What’s the Difference? (2023)
SDS Document Box - Exoguard
PARSOL® 340
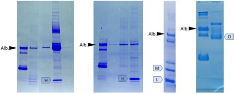
SDS-PAGE band Identification: Purified human Ig...
SDS系统 - Benchmark Gensuite®
SDS-PAGE - GeeksforGeeks
LearnSci LabSim: SDS-PAGE Analysis
Comparative SDS-PAGE analysis (Coomassie Brilli...
닿을 듯 말 듯… 삼성SDS 영업이익 1兆의 꿈 - 머니...
SDSへの保護具記載と着用義務に関する指針:改正労...
Safety Data Sheets
[삼성SDS] 2022년 알고리즘 특강 안내 - KAIST 전...
Sodium Carbonate Material Safety Data Sheet - g...
What's SDS? The difference between SDS Plus, an...